SIUI Apogee 5300 Touch S/W-Doppler Sonographiegerät


► Benutzerfreundlicher Workflow verbessert Ihre Effizienz
► Umfangreiche Diagnoseanwendungen unterstützen Ihre
► Umfangreiche Diagnoseanwendungen unterstützen Ihre
tägliche Diagnose
► MFI
► XBeam
► Nanoview
► Auto-Fit
► Trapezoid und Extended FOV
► MFI
► XBeam
► Nanoview
► Auto-Fit
► Trapezoid und Extended FOV
► Smart Zoom
► Auto IMT Messung
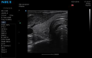
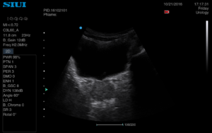
Der neue Apogee 2100 von SIUI ist ein Ultraschallsystem mit fortschrittlicher Bildgebungstechnologie. Ausgestattet mit dem MFI-System reduziert es Signalverzerrungen und eliminiert unerwünschtes Rauschen. Seine XBeam-Technologie hilft dabei, Schallartefakte zu verringern und die räumliche Auflösung zu verbessern. Das Nanoview-System kann winzige Läsionen präsentieren, die die Bilder mit unterschiedlichem Gewebe verbessern, wodurch zuverlässige Diagnoseergebnisse erzielt werden. Schließlich ermöglicht das Fusion THI-System das Zusammenführen von Informationen aus verschiedenen Frequenzbändern in Echtzeit.






